First impressions matter, especially in the world of dating. Your smile is often one of the first things people notice, and it can play a significant role in how confident and approachable you appear. A bright, healthy smile signals self-care and positivity, qualities that are highly attractive to potential partners. If you’ve been feeling self-conscious about your teeth, cosmetic dentistry offers effective solutions to help you look and feel your best. This guide explores how improving your smile can boost your dating confidence and the options available to make it happen.
Why Your Smile Matters in Dating
Your smile is more than just a physical feature; it’s a reflection of your personality and confidence. Studies show that people with attractive smiles are perceived as more trustworthy, friendly, and successful. In dating scenarios, this can make a huge difference in creating a positive first impression. If you’re hiding your teeth because of discoloration, gaps, or missing teeth, it can affect your self-esteem and how you interact with others. Investing in your smile is an investment in your confidence and social life.
Common Smile Concerns and Their Impact
Many individuals struggle with issues like stained teeth, uneven alignment, or missing teeth. These imperfections can lead to feelings of insecurity, making it harder to relax and enjoy social interactions. Discoloration from coffee, wine, or smoking can dull your smile, while gaps or crooked teeth may cause you to avoid smiling altogether. Addressing these concerns through cosmetic dentistry can help you feel more comfortable and authentic, allowing your personality to shine during dates.
Advanced Solutions for Missing Teeth
One of the most significant challenges to a confident smile is missing teeth. Not only does it affect appearance, but it can also impact speech and chewing. Modern dentistry offers a highly effective solution with permanent dental implants in Sacramento, which provide a natural-looking and durable replacement for lost teeth. These implants are anchored securely into the jawbone, creating a strong foundation for artificial teeth that blend seamlessly with your natural smile. This option is ideal for those seeking a long-term fix that restores both function and aesthetics.
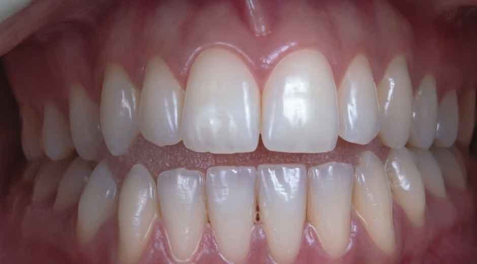
Cosmetic Treatments to Enhance Your Smile
Beyond implants, there are several treatments designed to improve your smile’s appearance. Teeth whitening is a quick and affordable way to brighten your teeth, removing years of stains and discoloration. Veneers offer a more comprehensive solution by covering imperfections such as chips, gaps, or uneven shapes. For those with misaligned teeth, clear aligners provide a discreet alternative to traditional braces, helping you achieve a straighter smile without the hassle of metal brackets. Each treatment can be customized to your needs, ensuring results that complement your facial features.
Building Confidence Through Your Smile
Improving your smile isn’t just about aesthetics; it’s about how you feel. When you’re confident in your appearance, you’re more likely to engage in conversations, laugh freely, and make genuine connections. This confidence can be a game-changer in dating, helping you present your best self without hesitation. A beautiful smile can also signal good health and self-care, qualities that are universally appealing in a partner.
Conclusion
Your smile is a powerful tool in creating lasting impressions, especially in the dating world. By addressing common dental concerns and exploring cosmetic solutions, you can boost your confidence and enjoy more meaningful interactions. Whether you choose whitening, veneers, or advanced restorative options, investing in your smile is an investment in your happiness and success. Take the first step toward a brighter, more confident future by consulting with a qualified cosmetic dentist today.









